Implants in Freehold
People are living longer than in Freehold ever, and while regular brushing, flossing, and checkups allow many of us to maintain our natural smiles for a lifetime, sometimes our teeth just can't keep up. If you've lost a tooth (or a few teeth) due to injury or disease, dental implants can rejuvenate both your smile and your oral health.
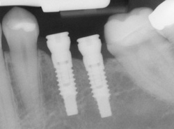
An implant is a synthetic tooth root in the shape of a post that is surgically placed into the jawbone. The “root” is usually made of titanium: the same material used in many replacement hips and knees, and a metal that is well-suited to pairing with human bone. A replacement tooth is then fixed to the post. The tooth can be either permanently attached or removable. Permanent teeth are more stable and feel more like natural teeth.
The ideal candidate for implants is a non-smoker who has good oral health, including a sufficient amount of bone in the jaw, and healthy gums with no sign of gum disease.
Single or Multiple Implants

Implants are versatile. If you are only missing one tooth, one implant plus one replacement tooth will do the trick. If you are missing several teeth in a row, a few strategically placed implants can support a permanent bridge (a set of replacement teeth). Similarly, if you have lost all of your teeth, a full bridge or full denture can be permanently fixed in your mouth with a strategic number of implants.
Advantages Over Dentures or Bridges
Conventional bridges and dentures are not fixed to the bone, and can therefore be unstable. This can make it difficult to eat or smile with confidence. Implants not only look more natural, but feel and act more like normal teeth, with a stronger biting force. And because they don't directly rely on neighboring teeth for support, implants don't compromise the health of your natural teeth. In fact, bridges are only expected to last seven to ten years, even less with root canals, whereas implants will typically last a lifetime.

Post-Treatment Care
Consider your replacement teeth to be the same as natural teeth. They require the same daily brushing and flossing, and the same amount of regular checkups. Just like your natural teeth, the better you take care of your replacements, the longer they will last.
All-On-X - A new, beautiful smile in just one day!
Maintain optimal oral function and aesthetics with All-on-4 same-day teeth replacement. Using state-of-the-art technology, All-on-4 treatment replaces traditional dentures, which can be uncomfortable, inconvenient, and poorly fitted. All-on-4 turns problematic chewing and speaking into relics of the past.
Using only four dental implants to attach a full dental restoration, your doctor can give you the stable, functional, and cosmetic solution you've been looking for. Best of all, your dentures can be placed on the same day as your implants, so you don't have to wait to get the restored smile you deserve.
The Benefits of All-on-X
- Because All-on-4 allows full-arch restoration with only four implants, your treatment and recovery time are greatly reduced.
- All-on-4 lowers the need for bone graft surgery while ensuring greater stability in the existing bone. It can even be used for patients who have been told they do not qualify for implants due to bone loss.
- The All-on-4 solution is more comfortable than traditional dentures because All-on-4 implants are more secure and feel like natural teeth.
- You'll never have to worry about your false teeth slipping or falling out while you eat or engage in conversation.
- There is no need for denture adhesive!